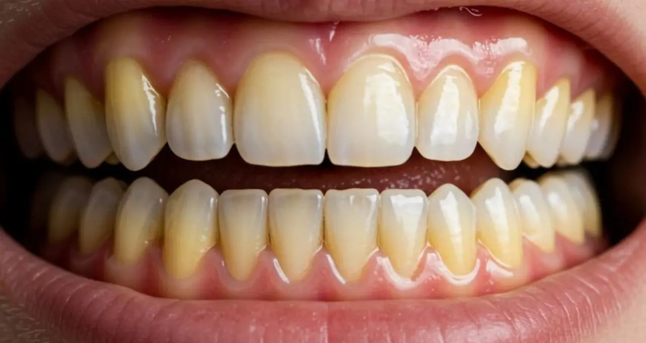
দাঁত ঝকঝকে সাদা রাখার জন্য আমরা অধিকাংশই দিনে অন্তত দু’বার ব্রাশ করি। কিন্তু তবুও অনেকের দাঁতে থেকে যায় হলুদ ছোপ বা নিস্তেজ ভাব। এতে অনেকেই অবাক হন। দন্ত বিশেষজ্ঞদের মতে, শুধু ব্রাশ করলেই সব সমস্যার সমাধান হয় না। দাঁতের গঠন, খাদ্যাভ্যাস এবং বয়সের মতো নানা কারণ দাঁতের রঙ বদলে দিতে পারে।

দাঁতের গঠনেই লুকিয়ে থাকে রঙের রহস্য
বিশেষজ্ঞদের মতে, দাঁত একাধিক স্তর দিয়ে তৈরি। দাঁতের বাইরের স্তরকে বলা হয় এনামেল, যা স্বাভাবিকভাবে সাদা এবং সামান্য স্বচ্ছ। এর নিচে থাকে ডেন্টিন, যার রঙ হালকা হলুদ। যখন এনামেল পাতলা হয়ে যায় বা দাগ পড়ে, তখন নিচের ডেন্টিন স্পষ্ট হয়ে ওঠে। ফলে দাঁত পরিষ্কার থাকলেও তা হলুদ দেখাতে পারে।
চা-কফি ও গাঢ় রঙের পানীয় বড় কারণ
খাদ্যাভ্যাস দাঁতের রঙে বড় ভূমিকা রাখে। বিশেষ করে চা, কফি, কোলা, সফট ড্রিঙ্কস বা গাঢ় রঙের পানীয় দীর্ঘদিন খেলে দাঁতের এনামেলে দাগ জমতে পারে। এসব পানীয়তে থাকা রঙিন উপাদান ধীরে ধীরে দাঁতের উপরিভাগে লেগে থাকে এবং সময়ের সঙ্গে সঙ্গে দাঁত হলুদ হয়ে যেতে পারে।

অ্যাসিডিক খাবার এনামেল ক্ষয় করে
লেবু, কমলা, সোডা বা অতিরিক্ত টক জাতীয় খাবার মুখের অ্যাসিডের মাত্রা বাড়িয়ে দেয়। এই অ্যাসিড ধীরে ধীরে দাঁতের এনামেল ক্ষয় করতে পারে। এনামেল পাতলা হয়ে গেলে নিচের হলুদ ডেন্টিন আরও বেশি দৃশ্যমান হয়। ফলে নিয়মিত ব্রাশ করলেও দাঁত সাদা দেখায় না।
বয়স বাড়লেও দাঁতের রঙ বদলায়
বয়স বৃদ্ধির সঙ্গে সঙ্গে দাঁতের এনামেল স্বাভাবিকভাবেই পাতলা হয়ে যায়। বছরের পর বছর চিবানো, ব্রাশ করা এবং বিভিন্ন খাবারের প্রভাবে দাঁতের উপরিভাগ ক্ষয় হতে থাকে। তখন নিচের ডেন্টিনের হলুদ রঙ আরও স্পষ্ট হয়ে ওঠে, যা দাঁতের স্বাভাবিক পরিবর্তনেরই অংশ।

কখন অবশ্যই ডেন্টিস্টের কাছে যাবেন
যদি হঠাৎ করে দাঁত দ্রুত হলুদ হয়ে যায়, ব্যথা বা অতিরিক্ত সংবেদনশীলতা দেখা দেয়, তাহলে দেরি না করে দন্ত চিকিৎসকের পরামর্শ নেওয়া জরুরি। কারণ অনেক সময় দাঁতের ভেতরে সংক্রমণ বা অন্য সমস্যার কারণেও দাঁতের রঙ বদলে যেতে পারে।

অনেকেই নিয়মিত দাঁত ব্রাশ করলেও দাঁতের হলুদভাব দূর হয় না। বিশেষজ্ঞদের মতে, খাদ্যাভ্যাস, অ্যাসিডিক খাবার, বয়সজনিত পরিবর্তন এবং এনামেলের ক্ষয়—এই কয়েকটি কারণেই দাঁত হলুদ দেখাতে পারে।













